Cabinet dentaire des Drs SAULI/GREGOIRE-SCHNEIDER
Chirurgiens-Dentistes à ROQUEFORT LA BEDOULE
Cabinet dentaire des Drs SAULI/GREGOIRE-SCHNEIDER

11 Avenue Pacifique Rovali
13830 ROQUEFORT LA BEDOULE

Chirurgiens-Dentistes à ROQUEFORT LA BEDOULE

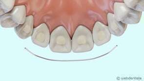
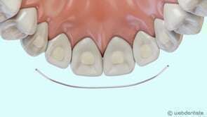
Fil de contention


video-play-icon

Articles similaires

Création par Webdentiste

Connexion